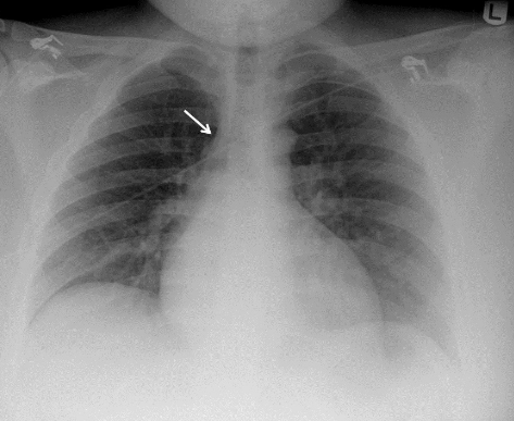
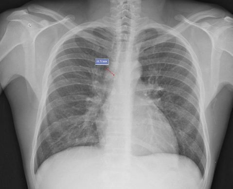
傍気管線とは
傍気管線は気管の右側の壁が右肺と接している部位がレントゲンで線として写るものである(およそ健常人の90%に認められる所見)。傍気管線の大きさは正常であれば4mm以下である。4mm以上に増大している場合は次の疾患を示唆する。
→傍気管リンパの腫大、縦隔リンパ節の腫大、甲状腺腫瘍、副甲状腺腫瘍、胸水、悪性リンパ腫など
【正常な傍気管線の画像】
下のレントゲンの黄色の矢印で挟まれた線が傍気管線である。

http://www.slideshare.net/aalmasi1970/cxr-revised-24-1191
【傍気管線増大の画像】

SOUTHWEST JOURNAL of PULMONARY & CRITICAL CARE – Imaging
【傍気管線増大の画像その2】(リンパ節腫大)

Right paratracheal stripe | Radiology Reference Article | Radiopaedia.org
また、傍気管線と同じ部位にリンパ節の腫大などが起こるとシルエットサインと同じ理屈で傍気管線は消失する。
コメント