腫瘤影、結節影、粒状影の違い
レントゲンやCTにおいての陰影はその大きさによって名称が異なり、おおよそ次のように定義されている。
腫瘤影:3cm以上
結節影:5mm~3cm
粒状影:5mm以下
【粒状影について】
粒状影は細気管支やリンパ管といった管状の部分に病変があって出来る陰影である。管の中の病変なので大きさは当然小さい。びまん性細気管支炎や肺線維症などで見られうる。

びまん性汎細気管支炎における粒状影の例
http://www.jrs.or.jp/modules/citizen/index.php?content_id=14

粒状影のCT例https://radiographica.com/pneumonia-series2/
【結節影、腫瘤影について】
結節影や腫瘤影は管を超えて、あるいは破壊してより大きくなっている病変を示唆する(→悪性の可能性も考える)。

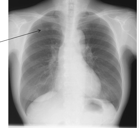
結節影のレントゲンChest radiography showing a nodular shadow in the upper | Open-i

腫瘤影のCT例http://www5a.biglobe.ne.jp/yuyo/shinryou/shinryou44.html
コメント