カルシウムサインとは大動脈解離を示唆するレントゲン所見である。大動脈の内膜の石灰化が大動脈陰影の外側から5mm以上内側に偏位していれば大動脈解離を疑う。単純写真では斜位になると偽陽性となりやすいので注意。また感度は非常に低く9%ほど、特異度も1−2割(文献による)程しかないので診断上有用とは言えない。尚、カルシウムサインは胸部CTでも大動脈壁在血栓と大動脈解離との鑑別に使える。
以下、カルシウムサインのレントゲン像をいくつか紹介
【カルシウムサイン:左は大動脈解離前、右は大動脈解離後】

http://slideplayer.com/slide/10713174/
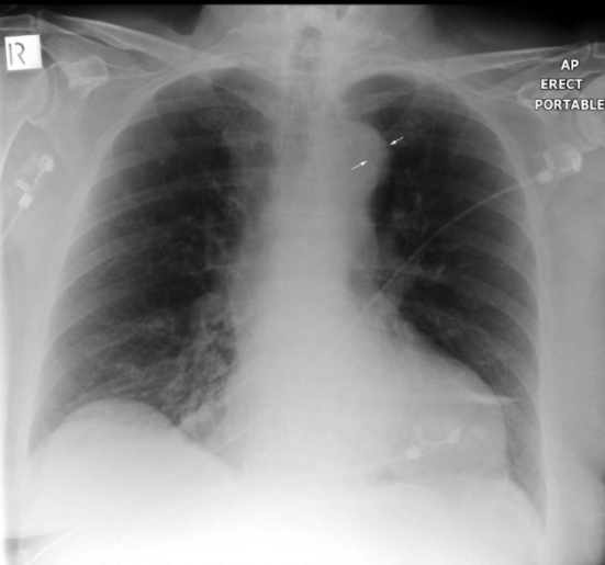
【カルシウムサインの一例その2】

Calcium Sign – wikiRadiography
【カルシウムサインの一例その3】

コメント