頭部CTで見逃しをしてしまわないように漏れ無くチェックできるような語呂合わせを紹介。”blood can be very bad”(訳:血液はとっても悪いかもしれない)
blood→blood(血液)
硬膜外血腫、硬膜下血腫、脳内血腫、脳室内出血、くも膜下出血
can→cistern(脳槽)
脳表、ペンタゴン、四丘体槽、シルビウス裂
be→brain(脳実質)
左右差、白質〜灰白質境界、midline shift、濃度、虚血
very→ventricle(脳室)
血液、変形、変位、
bad→bone(骨)
骨折、軟部組織、副鼻腔、顔面骨、上位頚椎
<それぞれの解説>
BLOOD
・慢性硬膜外血腫:硬膜と頭蓋骨の間に血腫形成。凸レンズ型の血腫。

慢性硬膜外血腫のCThttps://www.uic.edu/com/ferne/pdf/acep_2005_peds/perron_ich_acep_2005_peds_course.pdf
・慢性硬膜下血腫:軽微な外傷から1ー2ヶ月経ってから発症することも少なくない。三日月型の血腫。

慢性硬膜下血腫のCThttps://www.uic.edu/com/ferne/pdf/acep_2005_peds/perron_ich_acep_2005_peds_course.pdf
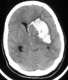
・脳内血腫:非外傷性であれば高血圧の高齢者にしばしば起こり、部位としては大脳基底核でのものが多い。また、出血が脳室内へと起こっていることもあるので頭部CTを見るときは確認するべきポイントである。

脳内血腫のCThttps://www.uic.edu/com/ferne/pdf/acep_2005_peds/perron_ich_acep_2005_peds_course.pdf
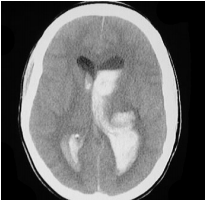
・脳室内出血:外傷によるものやクモ膜下出血、脳内出血が脳室内への穿孔に続発する場合などがある。

脳室内出血のCThttps://www.uic.edu/com/ferne/pdf/acep_2005_peds/perron_ich_acep_2005_peds_course.pdf
・クモ膜下出血:脳脊髄液の領域に出血が起こり、発症後数分で高吸収域として検出される。脳動脈瘤破裂が8割程を占め、原因として最多であるがその他外傷や腫瘍、動静脈奇形なども原因となりうる。

クモ膜下出血のCT https://www.uic.edu/com/ferne/pdf/acep_2005_peds/perron_ich_acep_2005_peds_course.pdf
can→cistern(脳槽)
脳表、ペンタゴン、四丘体槽、シルビウス裂
<参考画像>

画像引用:健康長寿ネット−くも膜下出血 【突然の激しい頭痛、嘔吐】

画像引用:http://xn--o1qq22cjlllou16giuj.jp/archives/13612
四丘体槽は脳梁と視床の間で中脳被蓋のすぐ後方に位置するやや広がって伸び出たクモ膜下腔で、背側から外側にかけて取り巻いている大大脳静脈槽を、臨床では迂回槽cisterna ambiensと呼んでおり、重要なクモ膜下層である。その理由は、このクモ膜下層の中に、大大脳動脈、後大脳動脈、上小脳動脈などが存在するからである。
be→brain(脳実質)
左右差、白質〜灰白質境界、midline shift、濃度、虚血
左右差:患者の頭がスキャナーに対して垂直ならばわかりやすい。左と右で違いがないか比較していく。
白質〜灰白質境界:この境界が不明瞭になれば脳卒中発症の早期サインである(=島皮質)。また悪性腫瘍の脳転移も白質灰白質境界に見られることがある。
midline shift:通常なら大脳鎌は真ん中にあって脳室は左右に均一に分かれている。脳槽の空間が失われていれば体軸方向への偏位が起きている可能性もある。脳溝が非対称に消失していれば一つの領域で圧が非常に上昇していることを表し、対象的に消失していれば脳全体的な圧の上昇を示唆。
濃度:高濃度であれば血液、石灰化、低濃度であれば空気、脂肪、虚血、腫瘍などが考えられる。
虚血:非出血性の梗塞であれば2−3時間で所見がみられることもあるが、大部分は12ー24時間経過しないとわからない。早期の変化は白質〜灰白質境界の消失として見られるが非常にわかりづらい。
very→ventricle(脳室)
血液、変形、変位、
脳室が拡大しているか、縮小しているか。また交通しているか、非交通かを確認する。
bad→bone(骨)
骨折、軟部組織、副鼻腔、顔面骨、上位頚椎
頭蓋骨には縫合線があるため骨折がわかりにくい。どんな骨折でも頭蓋骨の骨折であれば頭蓋内損傷の可能性を考えなければならない。頭部CTで空気が見られれば頭蓋骨と硬膜が局所的に破綻していることを示唆。
参考文献:
https://www.uic.edu/com/ferne/pdf/acep_2005_peds/perron_ich_acep_2005_peds_course.pdf
コメント