胸部レントゲンでルーチンで読影する順
💡見る順は個人の自由だが、毎回見る順番を決めておくと見逃しが減る。
💡毎回適当に見ていると、診るべきポイントをそのうち忘却する
●胸部レントゲン
・撮影条件:立位か坐位か臥位か
・パット見の印象(左右バランス、胸郭変形)
・横隔膜の高さ、横隔膜の線が追えるか
・骨軟部陰影、肋骨が追えるか(溶骨性変化がないか)、皮下気腫の有無
・気管支が正中にあるか、狭窄はないか
・傍気管線が見えるか(4mm以上の線もしくは消失していると異常)
・気管分岐部の開大が無いか
・右肺動脈陰影(1.5cm以上が開大)
・大動脈陰影が追えるか(シルエットサイン陽性でないか?AP-windowは凸になってないか)
・心胸比(立位なら50%以下が正常)
・右1弓:上大静脈、右2弓:右心房、左1弓:大動脈弓、左2弓;肺動脈、左3弓:左心耳、左4弓:左心室が追えるか
・肋骨横隔膜角(CP-angle)が鋭角か
・胃(胃泡)と横隔膜が離れていないか。
・肺野に異常陰影がないか(中枢か末梢か、両側か片側か)
*****************少し詳しく追記******************
💡横隔膜の陰影
シルエットサイン陽性ではないか?なにか隠れてないか。
○横隔膜の高さ=正常範囲
右では横隔膜と第 10肋骨がちょうど真ん中あたりで(鎖骨中線あたり)で交差しているのが、 正常の高さ。半肋間分ぐらいの上下は許容範囲として、第9肋間~第 10肋間に横隔膜が入っていれば正常範囲。 左の横隔膜は、右横隔膜と同じ高さ~右より1~2cm低位が正常範囲。
なお、肥満者では腹部の脂肪や内臓が横隔膜を圧すため高位になる傾向にあり、やせて
いる人は逆に低位となる傾向にある。
肋骨の数え方:
第一肋骨から第十肋骨まで追っていく。それぞれの肋骨は胸側にある胸骨からでて半円を描いて背中側にいく。それぞれの肋骨は背中側に行くほうが高い位置になっていることに注意。

下のレントゲンは背中側の肋骨に番号を振ってある。

Good positioning is key to PA chest x-ray exams
💡横隔膜の位置異常の原因
横隔膜が挙上する原因として:無気肺、線維化、肺切除後、横隔神経麻痺、肥満など
無気肺であれば浸潤影のようにみえるはず。線維化であればすりガラス影が肺野に無いかどうかチェック。横隔神経麻痺であれば吸気でも呼気でも横隔膜の高さは変わらない。
横隔膜が下がる原因として=COPD、気胸など
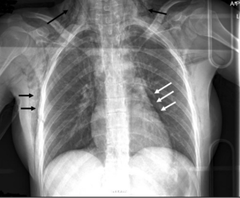
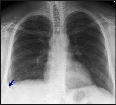
溶骨所見:下写真の矢印部位。胸部レントゲンで一緒に写る上腕骨で溶骨所見が見られることもある。溶骨性の骨転移がうつりこんでることがあるのでよくチェック。

The Radiology Assistant : Sclerotic bone tumors and tumor-like lesions
骨折はないか:肋骨をひとつひとつ見ていく。黒矢印のところで肋骨骨折が見られる。

Bruised Rib – Symptoms, Treatment, Signs, Causes, X-ray Diagnosis
皮下気腫がないか:下図の黒矢印が皮下気腫の所見。白矢印は縦隔気腫。
皮下気腫は胸腔ドレナージ挿入の後などに出現する。

X-ray of chest on day of injury. Black arrows: subcutan | Open-i
縦隔が正中にあるか
縦隔の中には血管や気管、食道があるがただのスペースであるので押されたりすると容易に動いてしまう。以下の胸部レントゲンでは左に気胸が起こり縦隔が右にシフトしている。他にも胸水、無気肺や肺線維症などでも縦隔のシフトは生じる。

Pneumothorax – Wikipedia, the free encyclopedia
気管の走行を確認する。気管の狭窄も無いか
空気の棒のような黒い帯が気管である。まっすぐに追えるかどうか。次の写真は正常な気管の走行であるが、偏位する理由としては腫瘍、胸水、無気肺、線維化などが挙げられる。

甲状腺の腫瘍により気管が右に押し出されている。

次の写真は小児のクループの例。矢印で示された気管が細くなっている(尖塔サイン)。

Steeple sign – Wikipedia, the free encyclopedia
💡傍気管線を確認する:
傍気管線は気管の右側の壁が右肺と接しているところが線として写るものである。
まずは正常な傍気管線から。
下のレントゲンの黄色の矢印で挟まれた線が傍気管線である。

http://www.slideshare.net/aalmasi1970/cxr-revised-24-1191
次の写真の傍気管線はやや大きくなっている。

SOUTHWEST JOURNAL of PULMONARY & CRITICAL CARE – Imaging
傍気管線は通常1~2mmの大きさであるが、4mm以上もしくは消失していると異常である。
原因としては気管や縦隔、胸膜の腫瘍やリンパ節腫大などがある。特に縦隔リンパ節があると傍気管線を形成していた胸膜と気管の壁とリンパ節が一体となってしまい傍気管線は消失する(シルエットサインと同じ理屈)。
関連記事:傍気管線の増大とその原因
奇静脈の拡張はないか
奇静脈は右の気管支分岐部の少し上でアーチを形成する(奇静脈弓)。その奇静脈弓の短軸が胸部レントゲンで線として見える。
奇静脈は正常ならば5〜7mmの径である。それ以上に拡張していれば心不全やうっ血により右房圧が上昇していることをを示唆する。
次の写真は9.7mmと奇静脈が拡張している。


Azygos vein | Radiology Reference Article | Radiopaedia.org
縦隔気腫があるかないか
縦隔気腫とは激しい咳などにより胸腔内圧が高くなり、気管支から縦隔に空気が入りこんだ状態。喘息重責発作、間質性肺炎、人工呼吸なども原因となる。
次の写真の矢印部分に黒い線が見え、縦隔気腫が認められる。

💡気管分岐部の角度を見る

イラスト参照*1
気管支の分岐は右が25度、左に45度と傾きに差がある。これにより気管から入ってきた異物は右の方に落ちやすく、誤嚥性肺炎も右肺に発症しやすい。気管分岐部の下に腫瘤があると分岐がガニ股のようになるので気管分岐の角度に注目することで腫瘤を発見することも出来る。その他、心臓の左房が位置するので、慢性心房細動などで左房径が大きくなると、気管分岐角も大きくなる。
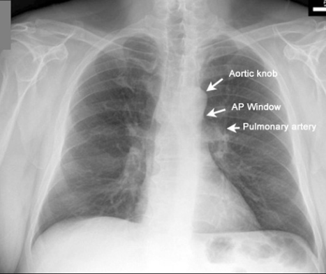
💡下行大動脈、APwindowは正常か
胸部レントゲンでは上行大動脈は肺と接していないので線とならずに見えないが、大動脈弓〜下行大動脈にかけては左肺と接しているのでレントゲンで線として見ることが出来る。
また、その際にAPwindow(大動脈肺動脈窓)もチェックしたい。
Aはaortic knob
Pはpulmonary artery
でありAPはつまり大動脈弓と肺動脈の間の隙間のことであり、正常であれば下のレントゲン写真のように空間が出来る。

APwindowの領域には縦隔リンパ節があるのでリンパ節が腫脹しているとAPwindowの凹みが盛り上がり、APwindow消失となる。

http://etrt.sakura.ne.jp/23hmc.htm
💡肺動脈拡大
右肺動脈中葉の分岐部の正常は1.2cm程度。1.5cm以上になると拡張と判断する。
左第2弓の左肺動脈が拡張でも肺高血圧症(肺塞栓など)を考える目安になる。
肺門部が外に凸で広がっっている場合、肺門リンパ節腫脹を考える。
💡肺門陰影は正常か
肺門陰影とは肺動脈や肺静脈が肺に入る場所がレントゲンで白い陰影として写っているものである。

肺門陰影拡大の原因としてはリンパ節の腫脹(結核や珪肺)、肺動脈圧の上昇などがある。 次の写真(左)はサルコイドーシスの両側肺門部リンパ節腫脹の所見、右の写真は肺高血圧である。

💡心拡大はないか
立位であれば心臓/胸郭の比率が50%以上であれば心拡大(心陰影拡大)。
坐位でであれば60%以上であれば心拡大
*なお、肥満などにより横隔膜の挙上があると、心臓が寝てしまうため心拡大と取られてしまうこともある(ただ心陰影が拡大しているだけである)。本物の心拡大があるかどうかはエコーしないと判断できない。
💡心陰影をチェックする
右1弓:上大静脈
右2弓:右房
左1弓:大動脈弓
左2弓:肺動脈
左3弓:左房
左4弓:左室

シルエットを追えるか。負えなければ隣接する腫瘤などを考える。
関連記事:胸部レントゲンの心陰影の見方 – とある研修医の雑記帳
・肋横角(CPangle)はどうか
肋骨と横隔膜の角度を見る。普通であれば尖っている(sharp)が、鈍角(dull)になっていると胸水貯留が疑われる。胸水以外に考えられる原因としてはCOPDによる肺の過膨張で横隔膜の平低化によることもある。また胸膜炎の既往があれば癒着してCPangleがdullになることもある。

CPA dullの例Medscape: Medscape Access
関連記事:肋骨横隔膜CPAのsharpとdullの違い – とある研修医の雑記帳
💡横隔膜の裏に陰影はないか
横隔膜の裏側は見難いがよく見えると腫瘤が隠れていることもあるので注意
💡肺野に異常陰影はないか
左から右に視線を動かして陰影を探す。
・陰影は片側か両側か
片側であれば腫瘍などが考えられるが、両側であれば全身性の疾患であることが示唆される。
・陰影の濃さはどうか
真っ白で後ろの血管が見えなければ”浸潤影”、少し白くて後ろの血管が見えるぐらいであれば”すりガラス陰影”。
関連記事:浸潤影とすりガラス様陰影の違い(+画像) – とある研修医の雑記帳
・陰影は中枢にあるか末梢にあるか
太めの気管支の近くにあれば比較的大きな粒子が原因のもの、逆に末梢にあれば微細な粒子が原因とかんがえられる。肺がんでもタバコが原因となる扁平上皮癌や小細胞がんでは粒子が比較的大きいので腫瘍は中枢に好発する。
陰影の形はどうか
腫瘤の形によってその原因推定することが出来る。
・辺縁が外向きに凸の場合はどんどん増殖しているサインであるので腫瘍や結核病変を示唆する。
・辺縁が内向きに凸の場合は病変が縮んで周りのものを引っ張っているので線維性病変や無気肺が考えられる。
・辺縁がまっすぐで大きさが変わらない場合は肺炎などが考えられる。これは炎症によって肺胞内に滲出液が出ることによって白くなっているのであり肺胞構造の形が変わるわけではないからである。
*編集中に付きまた追記します。
参考:レジデントのためのやさしイイ胸部画像教室
*1:人体の構造と機能 第40回(呼吸器系の構造と機能):看護学生のために(by 白鳥恭介):So-netブログ
コメント