肺門部陰影増強の原因
肺門部とは何か
肺門部とは肺の入り口にある中枢の気管支の事を言う。対になる言葉として肺野部があり、肺野部は肺のより末梢を意味するものである。肺がんにおいては肺門部にできやすいタイプ(扁平上皮癌、小細胞がん)と肺野部に出来やすい癌(腺癌)など別れており、肺の部位を分けることは臨床的に重要である。

肺門部陰影の正体は
胸部レントゲンにおいて肺門陰影は肺動脈、肺静脈を映し出している。他にもリンパ節、脂肪、気管壁などもわずかながら肺門陰影を構成していると言われている。
正常な肺門陰影はどう見えるか
肺門陰影は左右に見られるが、共に形はくぼんでいて、大きさ濃度は左右同じ程度である。位置は左の肺門が右に比べて僅かに高いところにある(これは左肺動脈が解剖学的に右肺動脈よりも高い所にあることに由来する。)
下葉の肺動脈は肺門部から下の方に伸びていて、大きさは手の小指と同じぐらいである(下の写真参照)。健常人の胸部レントゲンにおいて右の肺門陰影では94%、左の肺門陰影は62%が小指様(little finger )の所見に見えるという報告もある。
正常な肺門陰影の写真その1

正常な肺門陰影の写真その2


Learning Radiology – Dense Hilum Sign
【何をもって肺門陰影増大と判断するか】
まず、肺動脈径の大きさは通常10~15mm程度であるので20mm以上あれば明らかに拡大しているといえる。肺門陰影が増大する原因としては、肺動脈の拡大、肺門リンパ節の腫脹、肺門の裏の腫瘍などが考えられる。その他、肺や縦隔の別の陰影がたまたま肺門部に重なっているだけのこともあるので見分けるためには側面像の撮影も必要。
同じ肺門陰影の増大であっても、原因疾患によってその形態は異なる。血管系が原因で陰影増大していれば陰影は真っ直ぐな長方形のような形になる。一方で、腫瘍系が原因であれば細胞は増殖しようとしているので外に凸の形になる。
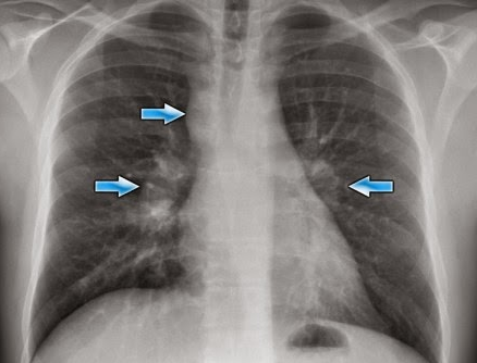
【肺門陰影増強の写真】
次の写真は両側の肺門陰影の増大が認められる。一般的に肺門陰影増大の原因としてはリンパ腺腫や静脈の拡張である。この写真では右の気管部の腫瘤が非常に特徴的で診断に有用。左右の肺門陰影の増強と右の気管支、および傍気管部の陰影。これはサルコイドーシスに見られる所見であり、”1-2-3サイン”とも呼ばれている。

Chest Medicine Made Easy-Dr Deepu: BASICS OF CHEST X RAY-PART 5, THE HILUM AND MEDIASTINUM
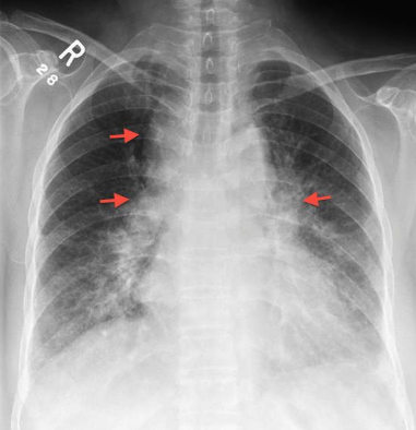
肺門陰影増強(サルコイドーシス)の写真その2

コメント