とあるテンプレート
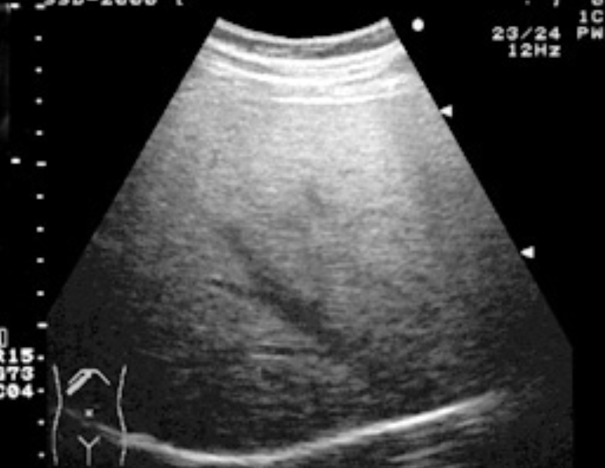
肝臓
大きさ:正常
エコーレベル:不均一
肝臓表面:粗雑
肝臓辺縁:鈍
腫瘤:なし
肝内胆管拡張:なし
◯肝臓大きさの評価
肝臓は肝炎や脂肪肝、うっ血肝などでは腫大するが、肝硬変では萎縮する。
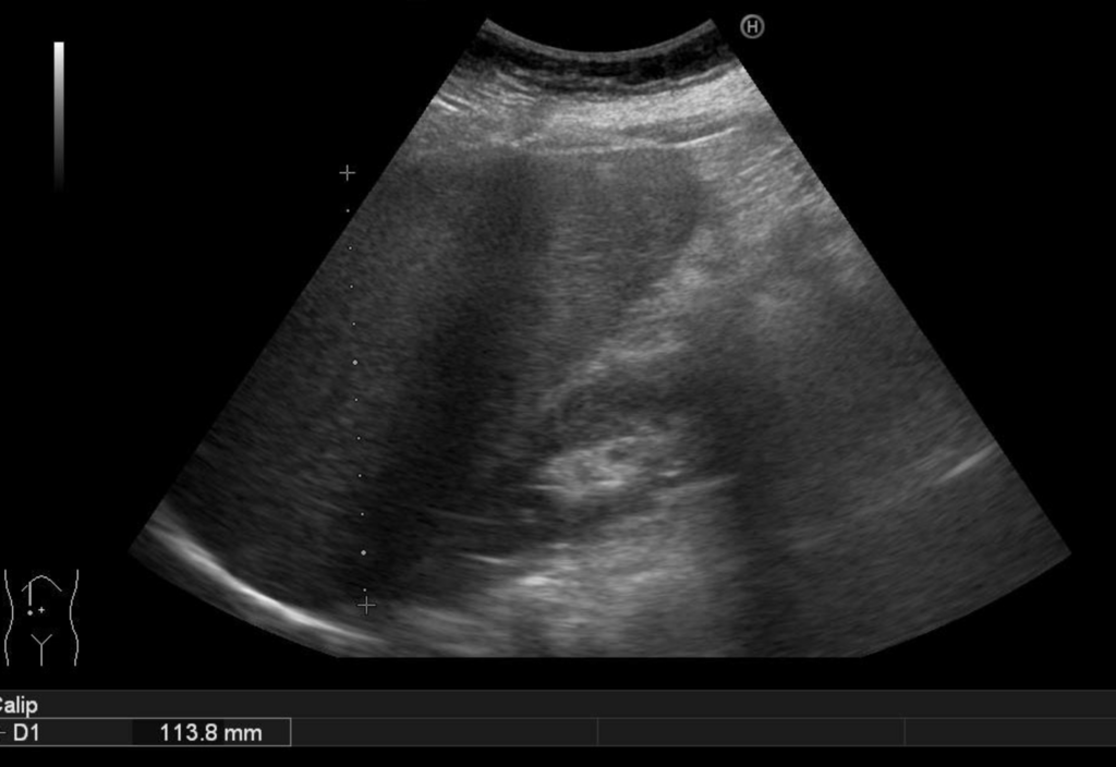
よくある測定法は肝臓右葉、左葉それぞれ縦断面(頭尾方向)で評価。
右葉は右乳頭線上の縦断像、左葉は大動脈に沿った縦断像で大きさを測定する。
(ただし左葉は一回で測定できるが、右葉は大きくて分割しないといけないのでつなぎ目もわからず正確な大きさの評価は難しいという意見もある。)
◯エコーレベルの評価
エコーレベルとは周囲組織に比べて肝臓のエコーレベル(明るさ)が高いか低いかを意味する用語。脂肪肝のように中性脂肪が沈着するとエコーで肝臓全体のエコーレベル上昇が見られる。
【高エコーの一例】
脂肪肝の症例でいわゆるbright liver。肝実質のエコーレベルは音波の散乱が高度なため上昇するが、逆に深部では音波の減衰のため暗く描出されている。
少しでも客観的に評価するために腎臓と一緒に描出して右腎実質に比べてエコーレベルが高くなっているかどうか見る。(肝臓が腎臓よりも明るく見えることを肝腎コントラストがあると表現する。)

http://www.us-kensahou-seminar.net/muse2/ch10/sub5/index.html#
◯肝表面の評価
肝硬変では肝表面に多数の小結節が出現し、肝表面は凸凹不整になる。超音波では肝前面の凸凹は観察しにくいので、肝下面に注目したほうがわかりやすい。


http://kkshikaku.com/archives/1041
◯肝臓辺縁の評価
正常の肝臓では辺縁が鋭角で尖ってるが、慢性肝炎や肝硬変では辺縁が鈍角になって丸み帯びてくる。
(辺縁鈍の例)

http://blog.livedoor.jp/yanchang/archives/2014-09.html
(辺縁鋭の例)

http://www.ultrasoundpaedia.com/segments/

コメント